
La risposta è sì, ma oggi è possibile prevenirla e rallentarla grazie all’odontoiatria moderna.
Cos’è la malattia parodontale (piorrea)?
Un tempo chi era affetto da piorrea (oggi chiamata parodontite) non poteva far altro che attendere la caduta dei denti. Oggi, grazie al progresso scientifico e alla diagnosi precoce, la situazione è completamente cambiata.
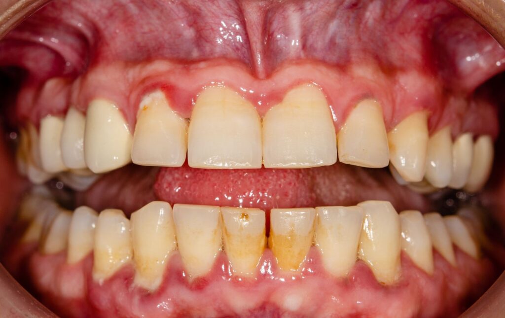
La parodontite è un’infiammazione cronica che colpisce i tessuti di sostegno del dente (gengiva, osso, legamento parodontale). Se trascurata, porta al riassorbimento osseo e alla perdita irreversibile dei denti.
Sintomi: come riconoscerla in tempo
Spesso la malattia insorge in modo silenzioso. Tuttavia, uno dei primi segnali è il sanguinamento gengivale. Altri sintomi possono includere:
- Gengive arrossate o gonfie
- Alito cattivo persistente
- Sensibilità o mobilità dentale
Effettuare visite periodiche di controllo è fondamentale per diagnosticare la malattia prima che si manifesti in modo evidente.
- Attraverso test di screening e visite specialistiche, è possibile identificare tempestivamente la presenza della parodontite, valutarne la gravità e proporre un trattamento personalizzato. Presso Odontosinergy ogni paziente viene seguito con protocolli operativi specifici, dalla fase pediatrica fino all’età adulta, per assicurare un percorso terapeutico o preventivo su misura.
Quando il danno è già presente: si può intervenire?

Sì. Oggi è possibile intervenire anche in caso di danno avanzato. Le tecniche micro-chirurgiche rigenerative permettono di ripristinare i tessuti danneggiati e migliorare la stabilità dei denti.
Grazie all’uso di bio-materiali avanzati e tecnologie moderne, i risultati sono sempre più efficaci, predicibili e duraturi.





